Corona virus disease – 2019 (COVID -19) is a viral disease caused by severe acute respiratory syndrome coronavirus -2 (SARS –Co-2). It is declared as a pandemic by World Health Organization on March 11, 2020. COVID – 19 has spread throughout the world, affecting more than 100 million people and more than 2 million deaths. Here we report a case of COVID – 19 induced acute pancreatitis who presented to us in emergency department.
Ongoing pandemic of COVID –19 which is a major challenge for public health and clinical medicine, has spread throughout the world, affecting more than 100 million people and more than 2 million deaths. COVID-19 is caused by severe acute respiratory syndrome coronavirus-2 (SARS-CoV-2), single stranded RNA viruses. COVID -19 mainly involve respiratory system with cardinal symptoms include fever, cough and shortness of breath. Other symptoms include muscle pain, anorexia, chest tightness, loss of taste and smell [1]. However, presently gastrointestinal manifestations of COVID -19 is increasingly being recognized [2]. Pancreatic involvement had been seen with other viral infections but acute viral pancreatitis due to COVID -19 is not a well recognized entity. Here, we report a case of acute pancreatitis in COVID -19 infections.
Case History
A 35 year old female presented to our emergency department with chief complaints of severe epigastric pain for last 1 day which is radiating to back. Pain is associated with nausea and vomiting. There is some improvement in severity of pain on banding forward. There is no history of fever, cough and shortness of breath. She denied any history of alcoholism, smoking and similar complaint in past. She refused for any drug history in past. On physical examination, she was afebrile, respiratory rate of 24/ min, had tachycardia (pulse rate of 104 bpm) with oxygen saturation of 95 % on room air. On abdominal examination there is severe epigastric tenderness with soft non- distended abdomen. Other systemic examination was within normal limits.
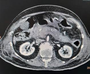
Her laboratory investigations revealed the following serum amylase 899 U/L, lipase 710 U/L, total leucocyte count 11500, Hb 14.1 g/dl, platelet count 1,90,000, serum aspartate aminotransferase 66 U/l, alanine aminotransferase 46 U/L, alkaline phosphatase 99 U/L, bilirubin total 0.9 mg/dl, blood urea nitrogen 27mg/dl, creatinine 0.5mg/dl, Na + 140 meq/l, K+ 3.5 meq/l, Ca 2+ 9.5mg/dl, phosphorus 3.5mg/dl. CT scan

Figure 1: Axial Contrast-Enhanced CT Image Showing Bilateral Kidneys and Abdominal Viscera

Figure 2: BH: Abdominal CT (Axial) – Kidneys and Bowel Loops Visualized
of abdomen (Figure 1) showed bulky/ enlarged and heterogenous pancreas with non-enhancing necrotic areas within it. Tail is poorly visualized (likely necrotic). Peripancreatic fat stranding with peripancreatic fluid is noted – features suggestive of acute necrotizing pancreatitis. As a routine protocol for admission in intensive care unit during this covid era, her nasopharyngeal and oropharyngeal swab was sent for COVID-19 testing by reverse transcriptase polymerase chain reaction (RT-PCR) which came out to be positive. Diagnosis of acute viral pancreatitis, COVID-19 induced, was kept. She was admitted in COVID-19 isolation ward and treated symptomatically with bowl rest, intravenous fluids, analgesia and empirical antibiotics. She was managed conservatively and discharged in hemodynamically stable condition after 1 week.
COVID -19, a global pandemic, in addition to pulmonary symptoms can cause various gastrointestinal manifestations like nausea, vomitting, diarrhea and abdominal pain [1]. There are several etiological factor which can cause acute pancreatitis. The most common causes for acute pancreatitis are gall stones and excessive alcohol consumption [3]. However, in 10-20% of cases etiological factor cannot be recognized [4]. Viral pancreatitis has been extensively described in literature, most common viruses include measles, mumps, coxsackie, ebstein-barr virus and Hepatitis viruses [5]. Although there was no direct evidence of COVID-19 induced pancreatitis in our case, causal relationship between pancreatitis and COVID-19, and absence of other etiological factor would suggest covid induced pancreatitis. There are very few case reports suggesting corona viruses induced pancreatitis. Wang et al reported pancreatic injury in 17% of patients in his case series of 52 COVID-19 positive patients [6]. SARS-Co-19 induced pancreatitis is believed to be initiated by presence of angiotensin converting enzyme 2 (ACE-2) receptor on cell surface of pancreas. ACE- 2 receptor, which are highly expressed in pancreatic islets cells, even more than lung alveolar calls, acts as viral entry port into the cell [7]. Increased ACE-2 expression, may increase susceptibility of pancreas for COVID-19 infection. Although exact etiopathogenesis is not known , pancreatitis in SARS-Co-19 may be due to direct cytopathic effect mediated by local replication of SARS-Co-19 or indirectly by systemic inflammatory response induced by COVID -19 [6]. Liu et al had reported a 17% incidence of pancreatic injury among 121 patients with COVID -19 pneumonia [7]. Most of COVID-19 induced pancreatitis cases, reported in literature are known cases of COVID-19 pneumonia, which developed acute pancreatitis in due course of viral pneumonia or during recovery period. Meireles et al suggested that pancreatic involvement likely arise from immune mediated inflammatory response rather than direct viral injury [8].
Herein, we report a case of acute pancreatitis in COVID -19 patients who had no pulmonary symptoms. Isolated rise in pancreatic enzyme could be non-pancreatic in origin and can be seen in other conditions also like renal failure and respiratory failure. As the disease spectrum of COVID -19 is still developing, our case demonstrates that COVID-19 can precipitate acute pancreatitis.
COVID-19 is a multisystemic disease with broad spectrum of severity. Our case report highlights the importance of COVID-19 as a precipitating factor and a new causative factor for acute pancreatitis. Further studies are needed to establish causal relation between acute pancreatitis and SARS-Co-2. Physicians while managing acute pancreatitis should be aware of this condition in present Covid era.
Zhu, J. et al. “Clinical characteristics of 3062 COVID‐19 patients: a meta analysis.” J Med Virol, vol. 54, 2020.
Liu, F. et al. “ACE2 expression in pancreas may cause pancreatic damage after SARS-CoV-2 infection.” Clin Gastroenterol Hepatol, vol. 18, no. , 2020, pp. 2128–2130.e2.
Forsmark, C.E. et al. “Acute pancreatitis.” N Engl J Med Overseas Ed, vol. 375, 2016, pp. 1972–1981.
Whitcomb, D.C. “Acute pancreatitis.” N Engl J Med Overseas Ed, vol. 354, 2006, pp. 2142–2150.
Kottanattu, L. et al. “Pancreatitis and cholecystitis in primary acute symptomatic Epstein-Barr virus infection – systematic review of the literature.” J Clin Virol, vol. 82, no. , 2016, pp. 51e5.
Wang, F. et al. “Pancreatic injury patterns in patients with COVID-19 pneumonia.” Gastroenterology, vol. , 2020. https://doi.org/10.1053/j.gastro.2020.03.055
Liu, F. et al. “ACE2 expression in pancreas may cause pancreatic damage after SARS-CoV-2 infection.” Clin Gastroenterol Hepatol, vol. 18, 2020, pp. 2128–2130.e2.
Meireles, P.A. et al. “Acalculous acute pancreatitis in a COVID-19 patient.” Eur J Case Rep Intern Med, vol. 7, 2020, pp. 001710.
Nil.